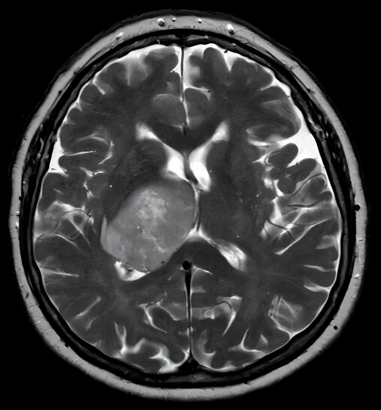
The Harvard Medical School-led research team has developed an AI tool that can explain separate origin, behavior and treatment in addition to two look-alik cancer found in the brain.
AI distinguishes glioblastoma from look-alike cancers during surgery

